Case Report


Rapid destructive osteoarthritis of the hip: Vanishing femoral head with MRI findings mimicking septic arthritis

,  ,  ,  

1 Consultant, Department of Radiology, Lovisenberg Diaconal Hospital, Oslo, Norway

2 Head of Department of Radiology, Lovisenberg Diaconal Hospital, Pb 4970 Nydalen, 0440 Oslo, Norway

3 Head of Department of Orthopedic Surgery, Lovisenberg Diaconal Hospital, Pb 4970 Nydalen, 0440 Oslo, Norway

4 Consultant, Department of Radiology, Lovisenberg Diaconal Hospital, Pb 4970 Nydalen, 0440 Oslo, Norway

Address correspondence to:

Kaja Johannson Oedegaard

Department of Radiology, Lovisenberg Diaconal Hospital, Pb 4970 Nydalen, 0440 Oslo,

Norway

Message to Corresponding Author


Article ID: 100020Z14KO2019

doi: 10.5348/100020Z14KO2019CR

Access full text article on other devices

Access PDF of article on other devices

How to cite this article

Oedegaard KJ, Kvakestad R, Aamodt A, Adar M. Rapid destructive osteoarthritis of the hip: Vanishing femoral head with MRI findings mimicking septic arthritis. J Case Rep Images Orthop Rheum 2019;4:100020Z14KO2019.

ABSTRACT


Introduction: Rapid destructive osteoarthritis of the hip is a rare disorder of unknown etiology characterized by rapid destruction of the hip joint. We present a case with complete destruction of the femoral head and extensive soft tissue involvement on magnetic resonance imaging (MRI) mimicking septic arthritis, but with lack of clinical evidence of infection.

Case Report: A 75-year-old woman presented with left hip pain and leg discrepancy. Imaging showed complete destruction of the left femoral head and acetabular irregularities, joint effusion, synovitis, extensive soft-tissue edema, and contrast enhancement of the gluteal musculature with an intramuscular loculament on MRI initially interpreted as possible septic arthritis with abscess formation. There were no clinical findings suggestive of infection or other destructive arthropathy. She was successfully operated with a single-stage total hip arthroplasty, and recovered without any complications.

Conclusion: The MRI appearance of rapid destructive osteoarthritis may mimic septic arthritis. The radiologist should be aware of the diagnosis and differential diagnoses of destructive arthropathy in order to avoid unnecessary delay of surgery.

Keywords: Magnetic resonance imaging, Rapid destructive osteoarthritis of the hip

Introduction


Rapid destructive osteoarthritis of the hip is a rare disorder of unknown etiology and incidence characterized by rapid destruction of the femoral head and acetabulum. It has been defined in the literature as chondrolysis greater than 2 mm or 50% jointspace narrowing in one year with no evidence of other forms of rapidly destructive arthropathy, most often occurring within a few months and mainly affecting women 60–70 years old [1],[2]. To our knowledge, few reports published on MRI findings in rapid destructive osteoarthritis focus on early changes in the disease process [1],[2],[3]. We present a case of advanced disease with a vanishing femoral head, extensive joint effusion, soft-tissue edema, and intramuscular loculaments on MRI with the radiological appearance of septic arthritis, but with lack of clinical or laboratory evidence of infection.

Case Report


A 75-year-old woman presented with an increasingly painful left hip over a few months. Before one year she had been diagnosed with mild coxarthrosis (Figure 1A). She had otherwise no medical history. At clinical examination, she had a leg discrepancy of 2 cm and reported pain in all active and passive motions.

The radiographs showed complete destruction of the left femoral head with a hatchet-like deformity, and cortical irregularities and defects in the acetabulum confirmed by computed tomography (CT) (Figure 1B).

Magnetic resonance imaging showed a thickened joint capsule and synovial enhancement, joint effusion, cystic fluid accumulation in the acetabulum, extensive softtissue edema, and contrast enhancement of the gluteal musculature with an intramuscular loculament initially interpreted as possible septic arthritis with abscess formation (Figure 2).

The patient was afebrile with normal laboratory findings except for a slightly elevated alkaline phosphatase. Arthrocentesis showed a nonviscous fluid with a normal leukocyte count with only 30% polymorphonuclear leukocytes. Infectious etiology was further excluded by negative bacterial cultures both in the joint aspirate obtained preoperatively and peroperatively by multiple biopsies. The patient was successfully operated with a single-stage total hip arthroplasty and recovered without any complications (Figure 3). The diagnosis of rapid destructive osteoarthritis was made after clinical exclusion of other causes of destructive arthropathy.

At three months follow-up, the patient was walking without mobility aids and reported no pain.

Figure 1: (A) The initial radiography of the left hip one year previously shows only mild reduction of the joint space. (B) Radiograph shows complete destruction of the femoral head with a hatchet-like deformity and cortical irregularities of the acetabulum.

Share Image:

Figure 2: Coronal T1 postgadolinium MRI showing complete destruction of the left femoral head, thickened and contrastenhancing joint capsule, joint effusion, loculament in the gluteal musculature and extensive periarticular soft-tissue enhancement.

Share Image:

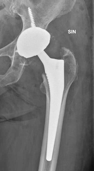
Figure 3: Postoperative radiography after hip arthroplasty with a cementless dual mobility cup (Trident TritaniumTM acetabular shell, Stryker) and a cementless hydroxyl-apatitecoated femoral stem (Corail®, DePuy).

Share Image:

Discussion


The etiology of rapid destructive osteoarthritis of the hip is still unclear. It is associated with rapid chondrolysis and poor bone response. Subchondral fractures in the femoral head may be part of the etiopathogenesis [2],[4],[5]. Initially, radiographs and CT may demonstrate either normal findings or mild osteoarthritis, but with lack of osteophytes. Over the next months there is progressively subchondral bone loss in the femoral head and acetabulum with finally complete destruction of the femoral head, often described as a hatchet-like deformity on radiography and CT with a sharp margin also presents in this case (Figure 1B). Key MRI features are bone marrow edema, joint effusion, synovitis, and subchondral cyst-like lesions. Subchondral fracture lines are characterized by a band of low signal intensity on all sequences paralleling the articular surface, which may overlap the radiological appearance of primary osteonecrosis, although considered a different entity [1].

Periarticular soft-tissue edema and intramuscular loculaments are MRI findings usually suggestive of septic arthritis. As demonstrated, it may also be seen in rapid destructive osteoarthritis (Figure 2). Infectious etiology should always be excluded, as both the radiological and intraoperative appearance of rapid destructive osteoarthritis may be indistinguishable from infection [6],[7]. Tuberculous arthritis is a differential diagnosis especially in patients from endemic areas [8].

The radiologic features of rapid destructive osteoarthritis overlap other destructive arthropathies, and the clinical history is therefore essential. The atrophic form of Charcot arthropathy is also characterized by bone resorption, joint destruction, and absence of osteophytes, but is painless [9],[10]. There was no evidence of diabetic or other neuropathy causing sensorineural deficit in this patient. The hatch-like, sharp margin of the femoral neck (Figure 1B) and the lack of soft-tissue component on MRI made the diagnosis of malignant osteolysis improbable. There was no anamnestic trauma as in massive osteolysis of the femoral head (MOFH) following acetabular fractures [11]. There have been several reports of rapid destructive osteoarthritis in association with rheumatoid arthritis, but in this case there were no clinical or laboratory findings supportive of inflammatory genesis [12]. Crystal deposition disease can be excluded by aspiration of crystal-free joint fluid [13]. Gorham’s disease, also known as vanishing bone disease, is a very rare disorder characterized by osteolysis and angiomatous proliferation generally affecting persons younger than 40 years old. In this disorder radiography, initially show radiolucent foci in the intramedullary or subcortical regions of the affected bone, and later disappearance of bone with tapering of the remaining osseous tissue [14].

Repeated radiography should be performed in elderly patients with persistent severe hip pain and normal radiography. The treatment of rapid destructive osteoarthritis is total hip replacement, and unnecessary diagnostic and logistic delay should be avoided as progressive bony destruction may lead to more technically demanding surgery [15].

Conclusion


The MRI appearance of rapid destructive osteoarthritis may show extensive pathological changes including softtissue edema and intramuscular loculaments, mimicking septic arthritis. Arthrocentesis and peroperative biopsies should be performed to exclude infectious etiology. It is an exclusion diagnosis after other causes of destructive arthropathy, such as neuropathy, trauma, malignancy, and inflammatory arthritis have been considered. Awareness of the diagnosis and MRI findings may prevent unnecessary delay of surgery.

REFERENCES


1.

Boutry N, Paul C, Leroy X, Fredoux D, Migaud H, Cotten A. Rapidly destructive osteoarthritis of the hip: MR imaging findings. AJR Am J Roentgenol 2002;179(3):657–63. [CrossRef] [Pubmed]   Back to citation no. 1  

2.

Flemming DJ, Gustas-French CN. Rapidly progressive osteoarthritis: A review of the clinical and radiologic presentation. Curr Rheumatol Rep 2017;19(7):42. [CrossRef] [Pubmed]   Back to citation no. 1  

3.

Fukui K, Kaneuji A, Fukushima M, Matsumoto T. Early MRI and intraoperative findings in rapidly destructive osteoarthritis of the hip: A case report. Int J Surg Case Rep 2015;8C:13–7. [CrossRef] [Pubmed]   Back to citation no. 1  

4.

Batra S, Batra M, McMurtrie A, Sinha AK. Rapidly destructive osteoarthritis of the hip joint: A case series. J Orthop Surg Res 2008;3:3. [CrossRef] [Pubmed]   Back to citation no. 1  

5.

Mavrogenis AF, Flevas DA, Panagopoulos GN, et al. Rapid destructive arthritis of the hip revisited. Eur J Orthop Surg Traumatol 2015;25(7):1115–20. [CrossRef] [Pubmed]   Back to citation no. 1  

6.

Hart G, Fehring T. Rapidly destructive osteoarthritis can mimic infection. Arthroplast Today 2016;2(1):15–18. [CrossRef] [Pubmed]   Back to citation no. 1  

7.

Bernaus-Johnson M, Anglès F, Bartra A, Veloso M, Font-Vizcarra LL. Bilateral rapidly destructive osteoarthritis of the hip: Could we be misdiagnosing? A case report. J Orthop Case Rep 2018;8(3):47–50. [Pubmed]   Back to citation no. 1  

8.

Pigrau-Serrallach C, Rodríguez-Pardo D. Bone and joint tuberculosis. Eur Spine J 2013;22 Suppl 4:556–66. [CrossRef] [Pubmed]   Back to citation no. 1  

9.

Jones EA, Manaster BJ, May DA, Disler DG. Neuropathic osteoarthropathy: Diagnostic dilemmas and differential diagnosis. Radiographics 2000;20(Suppl 1):S279–93. [CrossRef] [Pubmed]   Back to citation no. 1  

10.

Cavalli G, Praderio L. Charcot's arthropathy of the hip. J Rheumatol 2013;40(10):1770. [CrossRef] [Pubmed]   Back to citation no. 1  

11.

Seo GS, Dieudonne G, Mooney SA, Monu JU. Unexplained [CrossRef] [Pubmed]   Back to citation no. 1  

12.

Yun HH, Song SY, Park SB, Lee JW. Rapidly destructive arthropathy of the hip joint in patients with rheumatoid arthritis. Orthopedics 2012;35(6):e958–62. [CrossRef] [Pubmed]   Back to citation no. 1  

13.

Yang JH, Oh KJ, Pandher DS. Hydroxyapatite crystal deposition causing rapidly destructive arthropathy of the hip joint. Indian J Orthop 2011;45(6):569–72. [CrossRef] [Pubmed]   Back to citation no. 1  

14.

Nikolaou VS, Chytas D, Korres D, Efstathopoulos N. Vanishing bone disease (Gorham-Stout syndrome): A review of a rare entity. World J Orthop 2014;5(5):694–8. [CrossRef] [Pubmed]   Back to citation no. 1  

15.

Kuo A, Ezzet KA, Patil S, Colwell CW Jr. Total hip arthroplasty in rapidly destructive osteoarthritis of the hip: A case series. HSS J 2009;5(2):117–9. [CrossRef] [Pubmed]   Back to citation no. 1  

SUPPORTING INFORMATION


Author Contributions

Kaja Johannson Oedegaard - Conception of the work, Design of the work, Acquisition of data, Analysis of data, Drafting the work, Revising the work critically for important intellectual content, Final approval of the version to be published, Agree to be accountable for all aspects of the work in ensuring that questions related to the accuracy or integrity of any part of the work are appropriately investigated and resolved.

Rune Kvakestad - Conception of the work, Design of the work, Revising the work critically for important intellectual content, Final approval of the version to be published, Agree to be accountable for all aspects of the work in ensuring that questions related to the accuracy or integrity of any part of the work are appropriately investigated and resolved.

Arild Aamodt - Conception of the work, Design of the work, Acquisition of data, Revising the work critically for important intellectual content, Final approval of the version to be published, Agree to be accountable for all aspects of the work in ensuring that questions related to the accuracy or integrity of any part of the work are appropriately investigated and resolved.

Mamad Adar - Conception of the work, Design of the work, Acquisition of data, Revising the work critically for important intellectual content, Final approval of the version to be published, Agree to be accountable for all aspects of the work in ensuring that questions related to the accuracy or integrity of any part of the work are appropriately investigated and resolved.

Guaranter of Submission

The corresponding author is the guarantor of submission.

Source of Support

None

Consent Statement

Written informed consent was obtained from the patient for publication of this article.

Data Availability

All relevant data are within the paper and its Supporting Information files.

Conflict of Interest

Authors declare no conflict of interest.

Copyright

© 2019 Kaja Johannson Oedegaard et al. This article is distributed under the terms of Creative Commons Attribution License which permits unrestricted use, distribution and reproduction in any medium provided the original author(s) and original publisher are properly credited. Please see the copyright policy on the journal website for more information.